Plates 6 & 7 (pp. 39 – 40)
Species affected
Potentially in all freshwater fishes. Incubated eggs are readily infected.
Geographical range
Piscine dermal phycomycetes are universal. Infection in Africa has been recorded from
wild and cultured fish in South Africa, Uganda and Israel.
Description, taxonomy and diagnosis
Skin infection is easily detected by the appearance of patchy or extensive cottonwool
cover -- the fungus mycelia, emerging usually from an haemmorhagic skin lesion.
Microscopic examination reveals hyphae, giving rise to sporangia.
Saprolegnia is often used as a collective name for phycomycete fungi of several genera (such as Saprolegnia, Achyla, Aphanomyces and Dictyuchus) predominantly of the order Saprolegniales (family Saprolegniaceae) (Neish & Hughes, 1980; Chien, 1981). Lesions may have mixed infections. While characteristics of the sporangium formation and zoospore release are important for determination of saprolegnian genera, details of the reproductive organs, the oogonia and the antheridia are important criteria for specific differentiation. Mycelia recovered from fish contain, however, only asexual reproductive organs (oval elongated sporangia which contain biflagellated zoopores).
Saprolegniaceae may be cultured on any nutritive agar medium plate with the addition of antibiotics (such as Sabouraud's agar). A specific methodology for isolation of Saprolegnia was devised by Willoughby & Pickering (1977). All these cultures yield only asexual generations. Sexual generations may be obtained only through specialised culture methods (over hemp seeds - Neish & Hughes, 1980).
The genus Saprolegnia has oblong sporangia and is also recognised by its branched, non-septate multinucleated mycelium. The released zoospores typically swim away. In the genus Achyla the spores encyst at the mouth of the sporangium where they form a hollow ball. Encystment at the mouth of the sporangium also occurs in Aphanomyces (Neish & Hughes, 1980, Chien, 1981).
Taxonomic study of phycomycete skin fungi of African and Near East fish has never been attempted. The generic and species compositions of skin fungi in tropical waters may differ from that known in temperate and cold water regions. Sampling for saprolegniaceae in freshwaters in Thailand yielded Achlya and Aphanomyces but not Saprolegnia (Willoughby & Lilley, 1992)
Life cycle and biology
Saprolegnia and other phycomycete fungi reproduce asexually by production of
zoospores in the sporangia. Released biflagellated zoospores settle and produce new
hyphae. Sexual reproduction occurs only under special circumstances, and has never
been observed in parasitic forms. In the sexual generation, in the formed oogonia, 1–20
eggs develop. Antheridia developing on adjacent hyphae penetrate into the oogonia and
fertilise the eggs. The fertilised zygotes develop into resting spores. In some species of
Saprolegnia antheridia are absent and eggs develop into parthenospores. The
germinating spore undergoes meiotic division followed by several mitotic divisions and
sends out an unbranched hypha which turns into a sporangium, which contains
zoospores (Neish & Hughs, 1980).
Pathology
Saprolegnian fungi are opportunistic facultative parasites. They are necrotrophs when
they grow on living sources and saprotrophs when they derive their nutrition from
non-living sources. Saprolegnia often acts as a ‘wound parasite’ and handling fish often
predisposes them to infection. However, there is good evidence to suggest that
saprolegnian fungi can act as primary invaders, in physiologically debilitated (example
- decline in mucus production) and immunologically compromised fish (in “stress”
situations) (Willoughby 1978; Neish & Hughes, 1980).
The fungus usually establishes itself focally, invading the stratum spongiosum of the dermis and then extends laterally over the epidermis, eroding it as it spreads. In severe and prolonged infection, mycelia will penetrate beneath the dermal layer into the muscles and in very small fish will reach the inner organs. Saprolegnian infection extends less commonly to the gill integument. In young fish, infection is often confined to the posterior half of the body and consequently the caudal fin is lost and the caudal peduncule vertebrae become exposed. Hyphae induce extensive necrosis in the tissues they invade. Inflammatory response also occurs around damaged tissues; oedema, haemorrhaging and cellular infiltration is intense, particularly where secondary bacterial contamination follows (Willoughby, 1978; Neish & Hughes, 1980; Chien, 1981).
Epizootiology
Saprolegnian fungi are ubiquitous components of aquatic habitats. The circumstances
by which these fungi are capable of invading fish are not fully understood. Fish succumb
to infection either under circumstances which damage their skin, most commonly
handling, netting and other manipulations associated with farming practices, or when
predisposed by environmental stressors. Often both conditions occur together (Sarig,
1971; Roth, 1972; Neish & Hughes, 1980). It has been suggested that skin wounds
caused by ectoparasites, notably argulids and lernaeaids, facilitate initial invasions of
the fungus (Oldewage & Van As, 1987).
Massive mortalities, due to saprolegnial dermal mycoses of pond reared tilapia and of cichlids stocked in artificial lakes (dam reservoirs), commonly occur during winter months in the non-tropical parts of Africa (in the Transvaal highveld and Cape regions of South Africa), in the Near East (Israel), and in introduced tilapia in USA where water temperatures decline below 15°C (Sarig, 1971; Paperna, 1984; Oldewage & Van As, 1987; Lightner et al. 1988). Infections and losses usually involve Oreochromis spp. which are more vulnerable to low water temperatures, while the more cold tolerant Tilapia spp. (T. zillii, T. sparmanii) are only exceptionally affected. Economic loss to tilapia farming is considerable, particularly in the colder winters when 50–80% of the overwintering stock become infected and die, including market sized (300–500 g) fish. In such years, L. Kinneret Oreochromis cichlids also succumb to dermal mycoses.
Integumental wound aetiology is the background for saprolegniases frequently affecting warmwater farmed eels, resulting from aggressive behaviour due to overcrowding. Additional predisposing factors are inadequate nutrition and poor water quality (Eugusa, 1965, Chien, 1981). Saprolegniasis initiated by skin abrasions is also a cause for losses among scaled farmed fish (grey mullets, silver and grass carp) following netting (Sarig, 1971). Heavy losses, due to dermal mycoses, occur in the process of acclimatisation to freshwater of grey mullet fry collected from coastal waters for stocking in freshwater ponds. Dermal mycoses do not occur in fish farmed in salinities exceeding 1ppt.
Eggs are badly damaged by Saprolegnia when infected during artificial incubation in cold water (salmonids) as well as in warm water (cyprinids, cichlids and clariids). Invasion is promoted by existing necrotic substances such as unfertilised and damaged eggs.
Control
Malachite green oxalate (zinc-free) treatment is still the most commonly practised
remedy for dermal mycoses (Alderman & Polglase, 1984). It is applied to water in holding
tanks at a dose of 0.1–0.2 ppm for 1 hour, or by continuous flow, to yield a final
concentration of 0.05–0.075 ppm for several days. Earth ponds stocked with carp and
tilapia are treated with 0.15 ppm (Sarig, 1971) and the recommended concentration for
heavily eutrophic eel ponds is 0.2–1.0 ppm (Rickards, 1978). A preventive treatment is
recommended immediately after handling or netting.
Fish of various species differ in their susceptibility to Malachite green. The tolerance limits of carp, tilapia, grey mullets and trout are around 1.1 ppm/6h. Tolerance to the drug changes with age; applied doses are toxic to young (smaller than 100 mm) American and African catfish (Hoffman, 1970; Hecht, T. Department of Ichthyology University of Grahamstown, South Africa, per. comm). Tolerance to treatment declines at higher temperatures and also depends on the water conditions and the physiological state of the fish. It is therefore recommended to perform toxicity tests before larger scale treatment is applied. A safer alternative to this treatment is the use of saline water (above 0.1% NaCl), for one to several days, if it is tolerated by the fish and applicable to the conditions of the farming system.
Treatment of eggs: a ten seconds dip in 66 ppm (trout) to 1500 ppm Malachite green (Ictalurus punctatus); one hour dip in 0.1 ppm to 2.2–5 ppm (trout) or by maintaining such concentrations in flowing water for several days.
Species affected
Reported in various fish species, notably common carp, American catfish and eels. In
Africa and the Near East, infection has been reported thus far only in farmed carp.
Geographical range
Branchiomycosis has been reported in farmed common carp in Transvaal, South Africa,
and in Israel (Sarig, 1971).
Taxonomy, description and diagnosis
Infection is confined to the gills. Infected areas become necrotic, brownish-grey.
Microscopic examination will reveal branched nonseptate hyphae containing numerous
spores.
Branchiomyces are only known from hyphal stages in the gills. Branchiomyces is readily isolated and grown on routine agar media (with antibiotics). Its appearance in culture is similar to its appearance in the gills. Peduzzi (1973) obtained gemmae on hemp seeds and was able to show antigenic similarity and morphological affinities with Saprolegniaceae.
Two species were recognised, B. sanguinis the causative agent of carp branchiomycosis and B. demigrans causing gill infections in tench and pike. Growth of the former species is confined to the vascular system while the latter expands to extravascular tissues (Neish & Hughes, 1980).
Life history and biology
Branchiomyces in carp gills is usually localised in the blood vessels, the efferent
branchial vessels and the capillaries, producing branched coenocytic hyphae capable
of producing aplanospores by endogenous cleavage (Neish & Hughes, 1980). In eels
branchiomycosis hyphae and spores spread to visceral organs (Chien et al., 1978).
Infection is probably by spores liberated from the necrotic tissue, but the exact route by which fish contract infection is unknown.
Pathology
Infection in the blood vessels of the gill causes blockage, haemostasis and thromboses
which consequently cause extensive necrosis of the gill filaments. Areas of the gill
filaments turn brown, due to haemorrhages and thromboses, and grey as a result of
ischemia. The process is fast and is accompanied by proliferation of the gill epithelium
with resulting adhesions of the filaments (Richards, 1978; Neish & Hughes, 1980). In
eels, lesions containing hyphae and spores occur in the epicardium and the spleen
(Chien et al., 1978).
Epizootiology
Branchiomycosis occurs in eutrophic ponds with a high load of organic matter, ponds
fertilised by organic manure, and water temperatures above 20°C. During the hot
season, when ambient water temperatures are above 25°C, infection may spread to
most fish in the pond and cause heavy mortalities.
Control
Recommended treatments for infected fish are, application of 0.3 ppm Malachite green
per 24h, 1.2 ppm copper sulphate into the pond or as a quick dip (10–30 min.) at 100
ppm, or a dip in 3–5% NaCI. However, the efficacy of such treatments is not well
established. As a prophylactic treatment, it has been recommended to treat earth ponds
prior to stocking as a measure for water quality, with 150–200 kg ha-1 Calcium oxide
(quick lime) or 8 to 12 kg Copper sulphate ha-1 for 0.5 and 1 m deep ponds respectively
(Schaperclaus, 1954; Sarig, 1971).
Species affected
Ichthyophonus hoferi usually occurs in various fish from the sea, but only exceptionally
in fish from fresh waters.
Aspergillomycosis and Paecilomyces marquandii infections have been reported from cultured tilapia (Oreochromis spp.).
Geographical range
Records from Africa and African fish are as follows: Ichthyophonus were identified from
Mugil cephalus, Kowi lagoon (brackish water), southeastern Cape, South Africa
(Paperna, 1986) and aquarium held Hemichromis bimaculatus (Chauvier, 1979);
Aspergillomycosis from farmed Sarotherodon spp. in Mombasa, Kenya (Olufemi, et al.,
1983) and Paecilomyces mycosis in red tilapia hybrids from Arizona, USA (Lighter et al.,
1988a).
Description, taxonomy and diagnosis
Systemic mycoses can be readily recognised by the extensive granuloma they induce.
The encapsulated tissue spores of Ichthyophonus are visible with the naked eye or at
low magnification (×50). Hyphae of other fungi can be detected (often in the core of the
granulomata) only microscopically. Paecilomyces also produces characteristic chains
of oval conidia within the lesion in the tissue (Lightner, et al., 1988a). The taxonomic
position of Ichthyophonus is still unknown. Spores germinate hyphae in the host tissue
post-mortem and in a similar manner on any culture medium. Neither in-vitro stages
(Okamoto et al., 1985) nor ultrastructural studies (Paperna, 1986) provide clues to the
fungal taxonomic affiliations. Aspergillus flavus and A. niger (Ascomycetes) and
Paecilomyces marquandii (Moniliaceae) were identified from in vitro cultured isolates
from visceral lesions (Olufemi, et al., 1983; Lightner et al., 1988a).
Life history and biology
Data on the life history of Ichthyophonus suggest the existence of parasitic stages in the
fish and free non-parasitic forms. Fish, however, are readily infected through feeding on
infected tissues. In live fish, small mononucleate spores develop into multinucleate
spores, but germinate only after fish death. On culture media various developmental
forms occur: amoeboidal, plasmoidal and hyphal bodies of several patterns.
Morphotypes and sequences of their occurrence vary with the culture medium
(Thioglycolate or MEM) and ambient pH (Okamoto et al., 1985).
The other systemic fungi occur in tissues as hyphae and proliferate through asexual division (Olufemi et al., 1983); Paecilomyces also yielded conidia (Lightner et al., 1988a).
Pathology
Fungal infections of tissues invariably induce chronic inflammation, resulting in
granuloma formation with characteristic epitheloid, and later encasement in fibrouscollagenous
capsule. Dense infection leads to formation of large continuous necrotic
lesions which, in Paecilomyces infections, can expand beyond the limits of the organ
where it primarily developed. Affected organs, kidney and spleen, may become enlarged.
The fungal body can be identified in the cellular or the necrotic core. In Ichthyophonus infections, all connective tissues are eventually invaded, including that of the gill filaments. In Paecilomyces infection of red tilapia, cottony patches of areal hyphae also occurred on the peritoneum wall near the kidneys (Olufemi et al., 1983, Paperna, 1986, Lightner et al., 1988a). Heavy infection is debilitating to the fish and often results in death. A. flavus, A. niger and some species of Paecilomyces are occasional pathogens of birds and mammals.
Epizootiology
Ichthyophonus infections in migratory euryhaline fish can be carried into inland waters,
where they may be further disseminated via predation and necrophagy. Instances of
infection in cultured freshwater fish (trout) and aquarium held Hemichromis bimaculatus
appear to be the result of feeding on the contaminated flesh of marine fish (Dorier &
Degrange, 1961).
The routes by which cultured tilapia (Oreochromis spp.) contracted systemic mycosis is unknown. Fish were successfully infected when injected intraperitoneally with material from isolates of Aspergillus spp., with A. flavus being the more pathogenic. The original route of infection was suggested to occur via feeds; examined food stuff on the farm were, however, negative (Olufemi et al., 1983). A. flavus when infecting feeds yields Aflotoxin B1, a causative agent of hepatoma in trout (Ghittino, 1976).
Control
Not attempted thus far.
Species affected
Dermal and gill infections are found in various fish including carp, eels and salmonids.
Visceral granulomatous infections occur in Goldfish (Landsberg & Paperna, 1992), carp (Kovac-Gayer et al., 1986), Oreochromis hybrids (tilapia) (Paperna, unpublished), and salmonids (Hedrick et al., 1989).
Geographic range
Thus far not known in Africa. Gill Dermocystidium occurs in eels, and visceral
granulomatous infections in goldfish and tilapia farmed in Israel.
Taxonomy description and diagnosis
The genus name Dermocystidium has been applied to a variety of pathogenic organisms,
of doubtful relationships, that infect aquatic animals: oyster pathogens, once regarded
as a fungus, presently renamed Perkinsus and placed among the protozoans (Levine,
1978); Dermocystidium of skin and gills of fish (Olson et al., 1991), with some affinities
with fungi and the “Dermocystidium-like” organisms associated with systemic granuloma
in fish (Hedrick et al., 1989; Landsberg & Paperna, 1992).
Skin and gill infections form readily detected, white, either round (up to 1.1 mm diameter, in salmonids) or elongated cysts (up to 0.5 ×3 mm, in eels and carp). When mature, such cysts contain numerous 5–8 μm spores with a characteristic large vacuole (Cervinka et al., 1974; Wooten & McVicar, 1982; Nitzan, 1990; Olsen et al., 1991).
The granuloma-forming organisms from different fish seem to be related, and show some common ultrastructural features (Voeliker et al. 1977; Kovac-Gayer et al., 1986; Nash et al. 1989; Hedrick et al., 1989; Kim & Paperna, unpublished) which suggest affinities with fungi. Voelker et al. (1977) and Lom & Dykova (1992), however, considered these organisms to be amoebae.
Organisms associated with granulomata are best revealed through histological preparation, but may be detected both in wet mounts or air dried, methanol fixed, giemsa stained smears (Landsberg & Paperna, 1992).
Life history and biology
Spores released from mature cysts in salmonid gills, following incubation in water,
transformed into zoospores with a single flagellum. Salmonids exposed to these
zoospores were found to be infected with numerous cysts within 4 days. Eel cyst fine
structure is similar to that reported by Olson et al. (1991) from salmonid infections.
The life history of the visceral pathogens and how fish become infected is unknown. Development in goldfish, carp and salmonids seems to be similar. In goldfish infections, parasites are located within macrophages and grow into multinuclear bodies which divide up into 10 unicellular offspring (3.5–5 μm in diameter) (Landsberg & Paperna, 1992). Parasites aggregated in the tissue on the periphery of the granulomata. Degenerated infected macrophages predominated in late infections, while later parasites totally disappear from the periphery of the granulomatous lesions.
Pathology and epizootiology:
Gill Dermocystidium infections are pathogenic, and cause mortalities in stocks of
salmonids (Olsen et al., 1991), carp (Cervinka et al., 1974) and eels (Wooten & MacVicar,
1982; Molnar & Sovenyi, 1984). The large or numerous cysts cause pressure damage
to the gills, focal necrosis and extensive epithelial proliferation which obstructs lamellar
structure. Infection in farmed carp and eels may reach epizootic proportions.
Systemic infections in salmonids (Hedrick et al., 1989), in goldfish (Landsberg & Paperna, 1992) and in tilapia were associated with intense granuloma. Lesions were mainly epitheloid, with a gradually increasing necrotic core. In goldfish, infection first developed in the kidneys, next in the spleen and later in other organs. Haemorrhagic dropsy often occurred and kidney and spleen became enlarged, particularly the kidney, which pressed, and sometimes also perforated the lateral abdominal body wall. In tilapia infection was located in the liver. Lesions persisted several months after the disappearance of the parasites. Infection occurred repeatedly in earth pond reared goldfish, active infection occurred in late fall and in winter. In tilapia infection was epizootic, and thus far, has been detected only once, in overwintering stock in March.
Control:
Unknown.
REFERENCES
Alderman, D.J. & Polglase, J.L., 1984. A comparative investigation of the effects of fungicides on Saprolegnia parasitica and Aphanomyces astaci. Trans.Brit.Mycol. Soc. 83: 313–318.
Cervinka, S. Vitovec, J., Lom, J., Hoska, J. and Kubu, F., 1974. Dermocystidiosis - a gill disease of the carp due to Dermocystidium cyprini n. sp. J. Fish Biol., 6: 689–699.
Chauvier, G., 1979. Mycose viscerale de poisson dulcaquicoles tropicaux. Ann. Parasitol. Hum. Comp., 54: 105–111.
Chien, Chau-Heng, Miyazaki, T. & Kubota, S.S., 1978. The histopathology of branchyomycosis of eel in Taiwan. JCRR Fish. Ser., 34: 97–98.
Chien, Chiu-Yuan, 1981. Fungal diseases of fresh water fish in Taiwan. Nation. Sci. Counc. (Republic of China) Symp., Ser. 3: 33–45.
Dorier, A. & Degrange, C., 1961. L'evolution de l'Ichthyosporidium (Ichthyophonus) hoferi (Plehn and Muslow) chez les salmonides d'elevage (truitre arc-en-ciel et saumone de fontaine). Trav. Lab. Hydrobiol. Piscic. Univ. Grenoble, 52: 7–44.
Eugusa, S., 1965. The existence of a primary infectious disease in the so-called “Fungus Disease” in pond reared eels. Bull. Jap. Soc. Scient. Fish., 31: 517–526.
Ghittino, P., 1976. Nutritional factors in trout hepatoma. Prog. exp. Tumor Res. (Karger, Basel), 20: 317–338.
Hedrick, R.P., Friedman, C.S. & Modin, J., 1989. Systemic infection in Atlantic salmon Salmo salar with a Dermocystidium-like species. Dis. aquat. Org., 7: 171–177.
Hoffman, G.L., 1970. Control and treatment of parasitic diseases of freshwater fishes. U.S. Depart. Inter. Wash. D.C., FDL-28, 7pp.
Kovac-Gayer, E., Csaba, G., Ratz, F., Bekesi, L. & Szakolczai, J., 1986. Granuloma of common carp (Cyprinus carpio L.). Bull. Eur. Ass. Fish Pathol., 6: 72–75.
Landsberg, J.H. & Paperna, I., 1992. Systemic granuloma in goldfish caused by a Dermocystidium-like aetiological agent. Dis. aquat. Org., 13: 75–78.
Levin, N.D., 1978. Perkinsus gen. nov. and other new taxa in the protozoan phylum Apicomplexa. J. Parasitol., 64: 549.
Lightner, D., Redman, R.M., Mohney, L., Dickenson, G. & Fitzsimmons, K., 1988a. Major diseases encountered in controlled environment culture of tilapias in fresh- and brackishwater over a three year period in Arizona. In: Pullin, R.S.V., Tonguthai, K. and Maclean, J.L. (ed.) The Second International Symposium on Tilapia in Aquaculture. ICLARM Conf. Proceedings, pp. 111–116.
Lightner, D., Redman, R.M., Mohney, L., Sinski, J. & Priest, D., 1988b. A renal mycosis of an adult hybrid red tilapia, Oreochromis mossambica × O. hornorum caused by the imperfect fungus, Paecilomyces marquandii. J. Fish Dis., 11: 437–440.
Lom, J. & Dykova I., 1992. Protozoan parasites of fishes. Elsevier, Amsterdam, London, New York, Tokyo.
Molnar, K. & Sovenyi J.F., 1984. Dermocystidium anguillae infection in elvers cultured in Hungary. Aquacultura Hungarica (Szarvas), 4: 71–78.
Nash, G., Southgate, P., Richards, R.H. & Sochon, E., 1989. A systemic protozoal disease of cultured salmonids. J. Fish Dis., 12: 157–173.
Neish, G.A. & Hughes, G.C., 1980. Fungal diseases of Fishes. S.F. Snieszko & Axelrod, H.R. (ed.) Diseases of Fishes, Book 6. T.F.H. Publ. Inc. Ltd. 159 pp.
Nitzan, S., 1990. Dermocystidium anguillae in elvers of the European eel Anguilla anguilla L. in Israel. Israel J. Aquacult. - Bamidgeh, 42: 52–55.
Okamoto, N., Nakase, K., Suzuki, H., Nakai, Y., Fujii, K. & Sano, T., 1985. Life history and morphology of Ichthyophonus hoferi in vitro. Fish Pathol. 20: 273–285.
Oldewage, W.H. & Van As, J.G., 1987. Parasites and winter mortalities of Oreochromis mossambicus. South Afr. J. Wildl. Res., 17: 7–12.
Olson, R.E., Dungan, C.F. & Holt, R.A., 1991. Water-borne transmission of Dermocystidium salmonis in the laboratory. Dis. aquat. Org., 12: 41–48.
Olufemi, B.E., Agius, C., Roberts, R.J., 1983. Aspergillomycosis in intensively cultured tilapia from Kenya. Vet. Rec., 112: 203–204.
Paperna, I., 1984. Winter diseases of cultured tilapia. In: Acuigrup Spain (ed.) Fish2 Diseases. Fourth COPRAQ Session. Editora ATP. Madrid, pp. 139–147.
Paperna, I., 1986. Ichthyophonus infection in grey mullets from Southern Africa: histopathological and ultrastructural study. Dis. Aquat. Org., 1: 89–97.
Peduzzi, R., 1973. Diffusa infezione branchiale da funghi attribuiti al genere Branchiomyces Plen (Phycomycetes, Saprolegniales) a carico dell'ittiofauna di laghi situati a nord e a sud delle Alpi. II. Esigenze colturali, transmissione sperimentale ed affinita tassonomiche del micete. Mem. Ist. ital. Idrobiol., 30: 81–96.
Richards, R.H., 1978. The mycology of teleosts. In: Roberts, R.J. (ed.) Fish Pathology, Bailliere Tindall, London, pp. 205–215.
Rickards, W.L. (ed.), 1978. A diagnostic manual of eel diseases occurring under culture conditions in Japan. Sea Grant Publication UNC-SG-78–06, (North Carolina State University, Raleigh), 89 pp.
Roth, R.R., 1972. Some factors contributing to the development of fungus infection in freshwater fish. J. Wildl. Dis., 8: 24–28.
Sarig, S., 1971. The prevention and treatment of diseases of warmwater fish under subtropical conditions, with special emphasis on intensive fish farming. T.F.H. Publications Inc., Jersey City, N.J. 127 p.
Schaperclaus, W., 1954. Fiscgkrankheiten. Akademie Verlag, Berlin.
Willoughby, L.G., 1978. Saprolegniasis of salmonid fish in Windermere. J. Fish Dis., 1: 51–57.
Willoughby, L.G. & Pickering, A.D., 1977. Viable Saprolegniaceae spores on the epidermis of the salmonid fish Salmo trutta and Salvelinus alpinus. Trans. Br. mycol. Soc., 68: 91–95.
Willoughby, L.G. & Lilley, J.H., 1992. The ecology of aquatic fungi in Thailand and the fish disease relationship. AAHRI Newsletter (Bangkok, Thailand) 1: 5–6.
Wooten, R. & McVicar, A.H., 1982. Dermocystidium from cultured eels Anguilla anguilla L. in Scotland. J. Fish Dis., 5: 215–232.
Voelker, F.A., Anver, M.R. McKee, A.E., Casey, H.W. & Brenniman, G.R., 1977. Amebiasis in goldfish. Vet. Pathol., 14: 247–255.
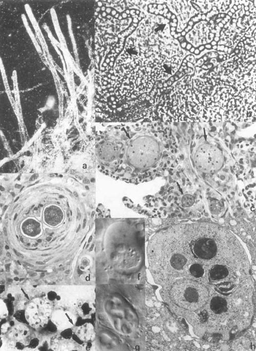
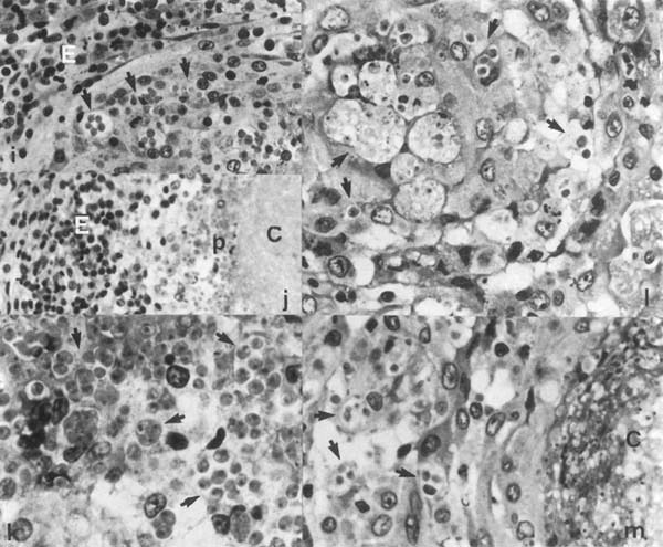
ILLUSTRATIONS See p 40 for legends.

Plate 6. Fungal infections (legend p. 40)
Plate 6. (p. 39) Fungal infections: a. Saprolegnial hyphae and sporangia, skin of Oreochromis aureus × niloticus, Israel. b. Branchiomyces infection in carp gills, Israel (by courtesy of S. Sarig). c. Ichthyophonus bodies in gill tissue of Mugil cephalus, S. Africa. d. Ichthyophonus granuloma in spleen of M. cephalus, S. Africa. e–k. Visceral granuloma caused by Dermocystidium-like organisms in goldfish, Israel. e, Giemsa stained organisms in a smear and f,g, live, viewed by Nomarski microscopy. h. Transmission electron microscopic view.
Plate 7. (below) Fungal infections continued: i-j, histological sections of granulomata in the kidney, C, necrotic core, E, epitheloid and fibroblast envelope, p, parasites at the periphery of the lesion, arrows, single and multiple parasite bodies. I,m. Granuloma with Dermocystidium-like organisms in livers of Oreochromis aurea × niloticus, Israel (Figures e,f,g, photographed by J.H. Landsberg).

Plate 7. Fungal infections continued.